Новгородские хирурги удалили 70-летней жительнице Холма гигантскую грыжу
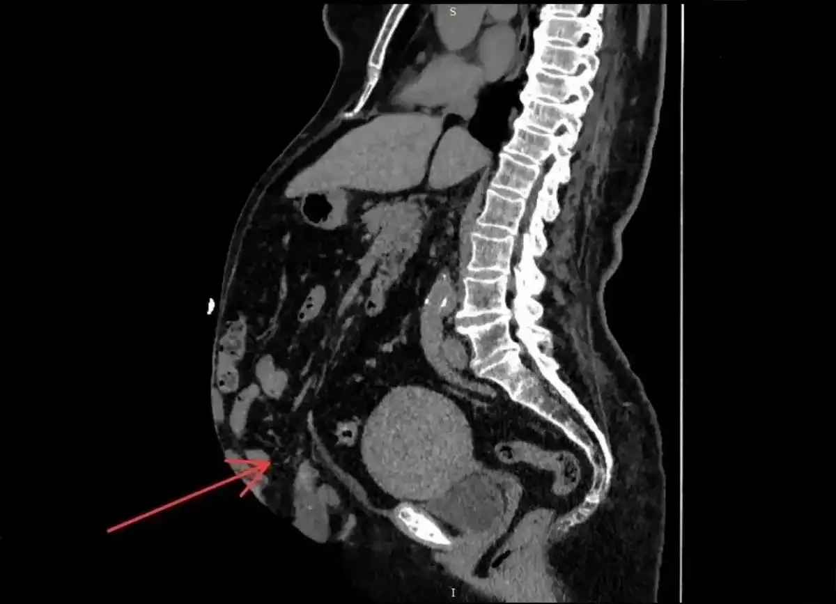
70-летняя жительница города Холм столкнулась с грыжей не в первый раз. Несколько лет назад ей удалили пупочную грыжу, затем произошёл рецидив послеоперационной грыжи. Со временем грыжа вернулась и достигла большого размера.
Женщина долго не решалась на повторную операцию, но когда терпеть неудобства стало тяжело, поступила в приёмный покой Новгородской областной клинической больницы.
– В год мы оперируем до 40 пациентов с послеоперационными грыжами, из них гигантские встречаются у одного-двух человек, – пояснил хирург, заместитель главного врача Новгородской областной клинической больницы по хирургической работе Вячеслав Смирнов.
Было принято решение выполнить ненатяжную пластику с полной реконструкцией брюшной стенки.
– Пациентка перенесла всё благополучно, выписана домой. Не прошло и месяца после операции, а она ведёт активную жизнь, – подчеркнул Вячеслав Смирнов.
Женщина наблюдается у врача в Холме, ходит на перевязки. Кроме того, за её состоянием хирург продолжает следить дистанционно через телемедицинские консультации в мессенджере Мах.






































